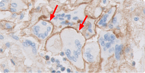
CMTN = cáncer de mama triple negativo; CPS= Combined positive score

Referencia: 1. Manual de interpretación de Agilent Technologies, Inc. PD-L1 IHC 22C3 pharmDx: carcinoma de células escamosas de cabeza y cuello (CCECC).

Antes de formular KEYTRUDA, lea la información para prescribir adjunta.

PARA USO EXCLUSIVO DEL PROFESIONAL MÉDICO

© 2024 Merck & Co., Inc., Rahway, NJ, USA y sus afiliadas. Todos los derechos reservados. Prohibida su reproducción parcial o total. Avenida Paseo del Mar, Costa del Este, Torre MMG, Piso 15, Apartado Postal 0819-06410. Panamá, República de Panamá. Teléfono: +5072827200. Teléfonos Gratuitos: Guatemala 18002990032; El Salvador 8006920; Honduras 80027919080; Nicaragua 18005070020; Costa Rica 08005071027; Rep. Dominicana 18007512688; Panamá 8002120.

E-mail: aquimsd.centroamerica@merck.com.

CD-KEY-01707